出血性中風(Haemorrhagic Stroke)是指非創傷性大腦內部或表面出血,佔香港中風個案約兩成,其中三分一是由於蜘蛛網膜下腔出血 (subarachnoid haemorrhage, SAH) 造成,而絕大部分SAH是由於腦動脈瘤破裂導致。據統計,香港SAH的發生率由2002年每10萬人口佔5.5 人,增加至2010年的7.5人(參考文獻1)。
雖然SAH是較為少見的中風類型,然而,SAH患者比較年輕,其死亡率亦明顯高於缺血性腦中風。其中一成患者會當場死亡,即使留院治療,大約一半患者三個月內會死亡,多達三分之二的倖存者亦會導致永久性神經功能缺損。
腦動脈瘤在香港普遍嗎?
腦動脈瘤在35-60歲年齡層中最常見,於兒童年齡層發生則較為罕見。根據最近一項「香港非破裂性顱內動脈瘤患病率」的調查顯示(參考文獻2),未爆破腦動脈瘤人口比率估計為4.9%,女性和男性的比率分別為5.9%和 3.9%,比率隨着年齡增長而增加。
腦動脈瘤是遺傳或後天造成?
少數腦動脈瘤會因先天性血管問題(多囊性腎病變、動靜脈畸形等) 而形成,而大部分腦動脈瘤是由於隨着年齡增長,再加上其他削弱動脈壁因素包括高血壓、吸煙、使用毒品(可卡因)和酗酒,導致動脈血管壁不斷損耗而引起。其他後天造成的原因包括動脈壁撕裂、創傷或血液感染。
腦動脈瘤有什麼症狀?
腦動脈瘤於大腦動脈較薄弱的位置,在血流的衝擊下形成血泡,隨着時間血泡壁會變得更薄而破裂,細小而又未破裂的腦動脈瘤並不會引起症狀,但當其增大到壓迫附近的神經或腦組織時,便會出現視力模糊、瞳孔放大、臉部刺痛等症狀。
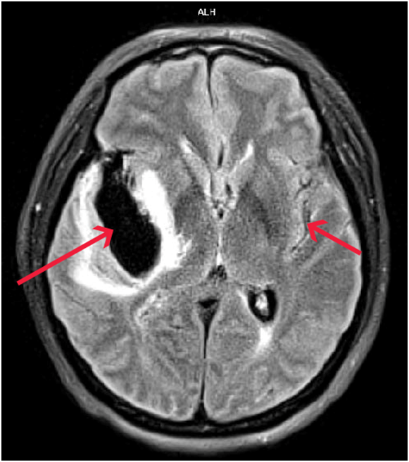
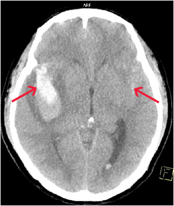
當腦動脈瘤滲漏或破裂,血液會溢出大腦表面(蜘蛛膜下腔),患者會感到爆裂性頭痛;其他症狀包括噁心和嘔吐、頸部僵硬、畏光、精神錯亂、虛弱和喪失意識。嚴重SAH更會導致血管痙攣令大腦供氧減少,或血液在大腦周圍積聚而造成腦積水。
怎樣可以檢驗出腦動脈瘤以及其破裂狀況?
對於有腦動脈瘤家族史的人士應考慮進行影像篩檢,特別是有兩名或以上的直系親屬患有SAH或未破裂腦動脈瘤。而一般沒有潛在腦動脈瘤風險的人士,並不建議使用影像檢查來進行篩檢。
如果不幸出現以上腦動脈瘤的症狀,例如爆裂性頭痛,請盡快見醫生進行檢查,以確定腦動脈瘤有否破裂或滲漏跡象。以下是診斷腦動脈瘤的常見檢查:
如何拆彈——腦動脈瘤?
大多數的腦動脈瘤並不會破裂,據一項海外研究觀察(參考文獻 3),平均腦動脈瘤破裂的 1 年風險為 1.4%,而 5 年風險為 3.4%,醫生因此一般不會建議對形狀細小而未破裂的腦動脈瘤進行手術治療,但患者需要定期進行影像檢查以監測腦動脈瘤有否出現增大情況;同時避免吸煙或過量飲酒,並應該透過藥物治療和改變生活方式來維持健康血壓和膽固醇水平。
腦動脈瘤一旦出現滲漏或破裂須進行緊急手術,要盡快通過手術夾閉或堵塞腦動脈瘤以防止再出血或擴大(請參閱以下圖表)。如腦內血塊壓迫腦部影響供血,應即時進行手術移除血塊,並考慮放置支架引流腦積水及減低腦壓。然而,考慮到某些特殊情況,例如病人處於昏迷狀態、本身有嚴重疾病、高齡等,一般要等到病情穩定才安排治療。
未破裂的腦動脈瘤的治療方式則取決於血管結構、腦動脈瘤的大小、形狀和位置以及其他因素,需向醫生商討各種治療方案的益處和風險。
治療與否取決於以下腦動脈瘤破裂風險因素:
(1)腦動脈瘤大小/形狀:小型腦動脈瘤出血機會較低,但據香港一項研究發現,超過一半(64%)的破裂動脈瘤(參考文獻4)只有 5 毫米或更小,所以不能單憑大小來評估風險,腦動脈瘤的形狀亦為重要(圖 4a 及 4b);
(2)腦動脈瘤生長:如腦動脈瘤隨着時間明顯增大則破裂風險較高;
(3)腦動脈瘤位置:位於前或後交通動脈的腦動脈瘤破裂風險較高;
(4)年齡:70 歲以上人士的腦動脈瘤破裂風險較高;
(5)性別:女性較高風險,尤其 55 歲以上女性,風險高於男性 1.5倍;
(6)種族:日本(2.8 倍)或芬蘭(3.6 倍)血統的人士風險較高;
(7)健康狀況:高血壓、接受抗凝血或抗血小板治療、多發性腦動脈瘤、曾有SAH病史人士風險較高。
結論:
可怕的腦動脈瘤發病前可以毫無症狀,但一旦破裂出血,死亡率高達五成。患者能否存活,除了取決於腦動脈瘤的出血位置、血塊大小、出血速度及身體狀況外,最關鍵的因素是患者能否在迫在眉睫之際得到及時和適切的治療。基於發病前並沒有任何症狀,市民應該了解自己是否高危人士,包括家族是否有腦動脈瘤或腦血管曾經受到創傷或感染的患者。市民可透過腦部磁力共振(MRI)來檢查腦部情況,一旦發現異常,應盡快與醫生商討適切的治療方案。同時,戒煙、減少喝酒、適量運動,及維持健康血壓、體重和膽固醇水平亦可以減低腦動脈瘤形成的機會。
(特此致謝聖德肋撒醫院掃描部提供醫學影像圖片)
- (參考文獻 1):
- Incidence and Mortality of Spontaneous Subarachnoid Haemorrhage in Hong Kong from 2002 to 2010: A Hong Kong Hospital Authority Clinical Management System Database Analysis. GKC Wong et al. World Neurosurgery Volume 81, Issues 3–4, March–April 2014, Pages 552- 556.
- (參考文獻 2):
- Prevalence of unruptured intracranial aneurysms in the Hong Kong general population and comparison with individuals with symptoms or history of cerebrovascular disease. 「香港非破裂性顱內動脈瘤患病率,以及與有病徵或腦血管病史群組比較」SCH Yu et al. Hong Kong Med J. 2022 Feb;28(1):16-23.
- (參考文獻 3):
- Greving JP, Wermer MJ, Brown RD Jr, Morita A, Juvela S, Yonekura M, et al. Development of the PHASES score for prediction of risk of rupture of intracranial aneurysms: a pooled analysis of six prospective cohort studies. Lancet Neurol. 2014;13:59–66. doi: 10.1016/ S1474- 4422(13)70263-1.
- (參考文獻 4):
- Size, location, and multiplicity of ruptured intracranial aneurysms in the Hong Kong Chinese population with subarachnoid haemorrhage. 「香港蛛網膜下出血的華籍病人,其顱內動脈瘤破裂的大小、位置及多發性」 HP Lai et al. Hong Kong Med J 2009 Sep;15(4):262-6.
放射科專科醫生
香港中風基金系列文章: