一般常說的盲腸炎,醫學上稱為「急性闌尾炎」,典型症狀是右下腹痛,稍為觸碰也會帶來劇痛,伴隨包括輕微發燒、⻝慾不振等病徵,主要治療方法是透過手術切除闌尾。然而,較少人認識的「大腸憩室炎」,病發症狀與闌尾炎極為相似,但診治方法卻大有不同。此文旨在為大家簡介這兩種引致下腹痛的炎症,提醒病人留意危險信號,切勿因延誤求診引致嚴重的併發症。
急性闌尾炎成因與飯後蹦跳無關
盲腸在大腸的起端部分,是連接小腸和大腸之間一條短短的腸道,位於右下腹近盆⻣位置;而闌尾則位於盲腸的末端,約八至十厘米⻑。闌尾常被視為無用的器官,其實它屬於消化系統中的一部分,含有豐富的淋巴組織,近年有研究指出闌尾在免疫和保持腸道細菌平衡方面有一定的⻆色。
許多人以為闌尾炎的成因是飯後進行劇烈運動,令飯粒或⻝物跌入開尾位置導致發炎。事實上,⻝物並不會直接落入腸道。導致閑尾發炎的主因是腸道內硬化的糞石跌入闌尾,令其阻塞受壓,黏膜分泌不順,引致細菌滋生並產生炎症。其他風險因素包括曾患腸胃炎引致腸道黏膜慢性發炎、淋巴腫脹等,這些情況均與飯後蹦跳無關。急性開尾炎大多是隨機性的,也沒有任何預防方法,因此病人必須對持續腹痛多加留意。
急性闌尾炎初期腹痛可與胃痛混淆
傳統上單靠臨床診斷急性闌尾炎有一定的難度。原因之一是受到闌尾位置不同而影響腹痛情況:如病人的闌尾位置接近前腹,腹痛會十分明顯,如病人的闌尾屈折在盲腸後面,開尾發炎時右下腹只有隱隱作痛,需大力按壓才有明顯痛感,因而容易令人忽略。
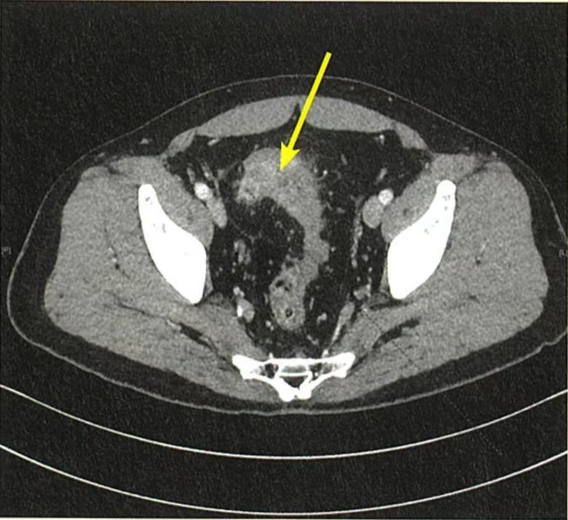
急性闌尾炎初期有可能先出現上腹痛,主要是腸道神經線的根源接近上腹腔,因發炎而引致內臟疼痛;與此同時,由於腹腔內有一塊與胃部連接的大網膜,具有固定和保護腹腔器官的功能。發炎初期,網膜會包圍着發炎的位置,以試圖控制發炎情況,因而令胃部產生拉扯感覺或疼痛。病人可能在數天後,才因劇痛延伸至右下腹而求醫,確診為急性闌尾炎時有機會已出現膿瘡。因此,如懷疑腹痛與急性闌尾炎有關,醫生會為病人安排腹部電腦掃描,以評估及確定發炎位置及是否已有穿孔、膿瘡等併發症。
急性闌尾炎以微創手術為第一線治療
治療急性開尾炎方面,微創切除闌尾手術是根治炎症的第一線治療,術後大約三天便可出院。然而,當網膜把發炎位置重重包圍,形成了「闌尾炎性腫塊」,令闌尾甚至盲腸和部分小腸都黏在一起,觸診右下腹時就如內有一顆雞蛋般硬實。若病情惡化,病人需要即時進行手術,如黏連太多,有可能須將部分小腸和大腸一併切除,手術時間亦由一小時左右,變成三數小時的中至大型手術,併發症和後遺症的風險也會大大提高。
在這種情況下,針對因急性闌尾炎引致炎性腫塊的病人,醫生會先處方抗生素把感染控制下來,病人須留院接受經靜脈注射抗生素,觀察一星期可出院,繼續接受約兩星期的口服抗生素治療。完成抗生素療程後約六至八個星期,病人須再接受腹部電腦掃描檢查,經醫生評估炎性腫塊的情況及確定闌尾位置後,才予以手術切除。
大腸憩室炎致右腹痛誤以為急性闌尾炎
大腸憩室症主要成因是腸內氣體過多、經常便秘和纖維不足,致令腸道蠕動不協調,排便時腸道壓力增加,大腸肌肉不按規律收縮,腸壁較弱的部分位置就會形成像凹陷了的坑洞,稱為憩室。⻑者、男士或免疫力較低的人士較大機會出現大腸憩室症,一般情況均沒有症狀亦毋須處理。
大腸憩室症可以出現在大腸任何位置,包括右腹的盲腸、升結腸,以及左腹的乙狀結腸、降結腸等。當糞粒或硬化的糞石掉入大腸憩室,刺激周圍組織、引起腸道細菌感染及黏膜壁發炎,就會導致大腸憩室炎。如大腸憩室炎發生在盲腸或升結腸,就會引發類似急性開尾炎的症狀,包括右下腹痛、低燒、作嘔和噁心等。
大腸憩室炎致左腹痛可併發膀胱或尿道炎
如大腸憩室出現在左腹的乙狀結腸,由於乙狀結腸鄰近膀胱,如乙狀結腸憩室反覆發炎,膿瘡穿破,腸道細菌就可經瘻管進入膀胱並接通膀胱,形成結腸膀胱瘻。因此,乙狀結腸憩室炎有可能併發膀胱或尿道發炎,症狀包括左下腹痛,以及中下腹同時出現疼痛,尿液出現雜質和氣泡等。針對乙狀結腸憩室炎併發膀胱炎,主要治療方法是處方抗生素,並以微創手術切除乙狀結腸部分。
大腸憩室炎以抗生素療程為第一線治療
針對大腸憩室發炎的主要治療方法是靜脈注射抗生素治療,而非手術治療。最重要的是,當炎症受控及康復後,病人必須改善飲⻝及生活習慣以預防復發,包括減少進⻝肉類、增加⻝物纖維,不宜經常飲用有氣飲品及必須處理⻑期便秘的問題。如反覆出現大腸憩室炎,有可能令憩室腫脹、出現膿瘡甚至引發腹膜炎,情況嚴重者必須切除發炎的腸道,可能需要以人工造口排便,約三至六個月後才進行另一次手術把切口兩端的腸道縫接。
大腸憩室是很常見的腸道問題,不少人定期接受大腸內鏡檢查時都會發現腸道中有洞狀的憩室。雖然大腸憩室發炎的比率不高,但憩室出現了就無法復原,反覆發炎所引發的併發症可以十分嚴重,年⻑及免疫力差的人士更是大腸憩室發炎的高危群,實在不容忽視。因此,經大腸鏡檢查有憩空的人士,必須正視飲⻝及排便問題,如憩室位置出現異常而持續的腹痛,必須立即求醬,接受檢查及治療以免病情惡化。
養和外科中心主任
養和內鏡中心主任
養和外科名譽顧問醫生
外科專科醫生
