大公文匯全媒體報道,時常聽聞牙齒是人體最堅硬的部分,其含有的琺瑯質硬度甚至高過不鏽鋼。但其實,不當的使用和不到位的護理也會令牙齒非常脆弱!作為人類成年後不可再生的身體組織,牙齒需要我們更加細緻用心的保護。本期《肥胡醫聊》邀請牙醫界鼻祖,香港牙醫學會前會長、香港牙醫管理委員會前主席左偉國醫生,針對港人常見牙齒疾病答疑解惑,分享日常實用護齒小知識!
港人有兩大牙齒問題 刷牙洗牙即可避免
左偉國首先科普,本港市民的牙齒問題不外乎兩個——蛀牙和牙周病,而這兩個讓港人飽受折磨的問題其實完全可以預防和避免。
為預防牙齒疾病,政府早已於1961年在食水中添加Fluoride(氟化物),氟化物可以令牙齒更硬,不那麼容易蛀牙。如果自來水煲了,氟化物會不會消失?答案是不會,所以用自來水或是煲過的自來水刷牙、漱口都可以預防蛀牙。政府亦推出學童牙科保健服務,全港所有小學生每年都可以去指定診所接受牙齒檢查。
在個人層面,預防這兩種疾病要做的就是正確刷牙、定期洗牙。刷牙是大家每天都要做的事,但這個例行流程其實需要專業人士來指導。左偉國說,因為每個人的口腔形狀不同,有很多自己看不到的地方會藏污納垢,因此要請牙醫發現這些盲區,在專業指導下掌握適合自己的刷牙方式。
定期做檢查和洗牙則應該是周期長一些的例行事項,左偉國認為6個月是合理時間,因為「6個月內發生的事可以逆轉,但超過6個月就已經開始失控。」左偉國指,洗牙不僅是清潔,更是一種「監察」,檢視一段時間內的牙齒清潔是否到位。牙齒有很多隱蔽的地方,即使日常清潔做得好,也有許多「死角」,因此要專業人士幫手徹底清理。6個月是有科學研究支持的合理周期,頻密些亦無害處。而牙周病患者要控制病情發展,則3至4個月洗一次為好。
刷牙方法很關鍵 牙刷漱口水怎麼選?
日常刷牙要刷多久?左偉國建議起碼要刷2分鐘,這是「最低消費」。當然,用正確的方法刷久一點也無妨。在牙刷的選擇上,左偉國認為一把好牙刷的標準很簡單:柄要直、刷毛要軟、刷頭要夠細以便刷到更多地方,這樣就足夠。
對於現時流行的電動牙刷,左偉國卻認為它要比普通牙刷更難使用,因為許多人以為電動牙刷放在牙齒上即可,刷牙過程反倒更潦草。但其實電動牙刷需要移動,而且要動得更厲害,以精準全面地清潔牙齒。
至於市面上五花八門的漱口水,左偉國認為如果每日堅持刷牙兩次,漱口水其實並沒有很大作用,只是一些產品內含酒精,會令口腔感到乾爽。至於漱口水能否殺菌,則要注意辨別其標註的是「抑菌」還是「殺菌」,若是「抑菌」就只會減低細菌含量,無法滿足殺菌需求。
牙周病可傷害心臟 每12小時要清除細菌
港人常見牙齒問題之一牙周病,成因很簡單,即口腔衞生做得不好,刷牙不徹底導致牙垢積累、細菌繁殖,乃至令牙肉發炎、腫脹,甚至充血。
左偉國介紹,這些致病細菌藏在牙縫裏面及牙肉表面,大約每12小時就會繁殖到一個高峰。因此要早晚刷牙清除牙垢,在繁殖高峰刷走細菌,讓它「由零開始」。而刷牙也並非越用力越好,一些人「刷牙到流牙血才有用」的標準其實並不正確。左偉國「闢謠」,如果牙肉健康、沒有牙周病,以正確手法刷牙並不會造成口腔流血,流血是因為牙齒或牙周已經存在問題。當然,每次刷牙都刷乾淨些,流血的情況就會慢慢緩解。
若已經不幸患有牙周病且病情嚴重,有腫脹、化膿情況,則要先吃消炎藥來救急。但用藥只能先壓下病情,並不治本,需要在用藥後慢慢做口腔清潔直至痊癒。
很多人聽說牙周病控制得不好,細菌病毒會入眼、入耳、入鼻,甚至入心臟。左偉國證實,牙周病的蔓延和影響的確會如此嚴重。一些患者長期患有嚴重牙周病,口腔內積攢大量細菌。而口腔距離心臟很近,如果有心臟問題,譬如心瓣開合不好,這些細菌進入血液走到心臟,便會在那裏發炎,令心臟受到嚴重不良影響。因此,左偉國強調,有心臟疾病的人一定要定期洗牙、檢查。
每6個月要見牙醫 蛀牙預防勝於治療
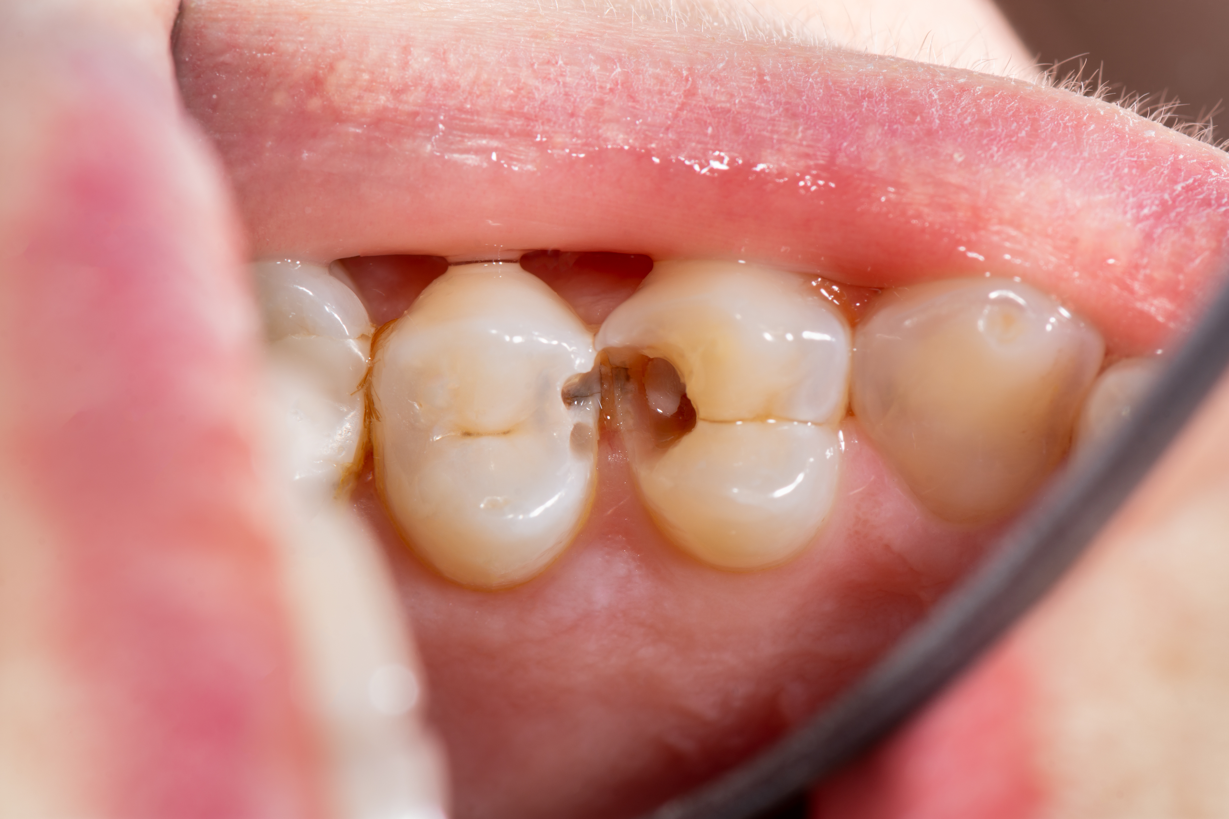
港人另一大牙齒問題即是齲齒,俗稱蛀牙。對於蛀牙問題,同樣預防勝於治療。
嚴重蛀牙的治療方式通常是杜牙根(根管治療),即在牙齒表面鑽洞入到牙的神經,用機械將神經中的血管、淋巴全部清除,替它消毒,再用不會產生化學作用的物質將其封住,令牙齒不再痛,接着做一個牙冠保護住它,牙齒又可以保留一段時間。但比起大費周章的治療,更重要的還是日常的預防。
除了刷牙之外,日常的飲食和運動是否對牙齒有影響呢?左偉國說,運動應該不會影響到牙齒,但是絕對不要吸煙,吸煙會帶來諸多口腔問題。除了牙齒染色之外,吸煙會令口腔內組織完全失去那種敏感度,像打了麻醉一樣吃什麼都沒有味道。
除了吸煙,日常中還要注意健康飲食。有些人認為甜食傷害牙齒,但左偉國表示,如果口腔清潔做得好,其實食朱古力對牙齒健康不會有太大破壞。他舉例,如果你吃完朱古力就去睡覺,當然有問題;吃完朱古力漱過口、刷牙後才去睡覺就沒關係,不要吃太多就好。
而一些人喝凍水會感到牙齒酸痛,又是什麼原因?左偉國判斷,如果6個月之內檢查過沒有蛀牙、牙周病,那麼這可能就是過敏。溫度對牙齒是一個很大的刺激,因為口腔的溫度與體溫一致,如果吃太凍的食物會有牙齒酸痛反應,應盡快去檢查。
最後,左偉國再次強調要準時見牙醫。「我們一向奉行一年兩次檢查,6個月檢查一次,因為科學告訴我們,如果你長時間不做檢查,那個檢查是沒有意思(無意義)的。」左偉國指,如果6個月去一次牙科,醫生會有更多機會治療牙齒問題。而6個月中間感到不舒服或已經發現牙齒出問題,則應當馬上去牙科。
當然,左偉國亦根據自身和病人的經驗表示,凡是口腔健康做得很好的病人,其實真沒什麼機會出現上述不適,「因為我們盡力做、他又配合,這些事不會出現。所以都是這一句,預防勝於治療。」
