香港文匯報報道,今年入冬以來,歐美多國受到肺炎肆虐,出現急性呼吸窘迫綜合症,俗稱為「白肺綜合症」的肺炎病例激增。專家警告隨着年底的出行高峰期來臨,肺炎疫情可能蔓延到整個歐洲和北美,公共衞生系統脆弱的非洲,料成為肺炎疫情的下一個爆發地點。
肺炎疫情最初在瑞典爆發,很快便傳至鄰國丹麥和荷蘭,最近美國兩個州份也相繼出現爆發式傳染。其中俄亥俄州沃倫縣已有142宗兒童出現「白肺」的病例。當地衞生官員表示,相較當地20萬人口,這一感染病例數目「高得不正常」,「現在的感染率不僅高於本縣往年的平均水平,且還符合俄亥俄州衞生部對疫情爆發的定義標準。」沃倫縣公立中學校長凱特稱,從10月下旬起,家長為孩子請假的次數明顯增多,很多孩子最終被確診患上肺炎。
馬薩諸塞州衞生部也表示,醫生匯報了大量「溫和的肺炎病例」。該州東朗梅多縣的兒科專家凱利表示,該縣80%患肺炎的兒童是由於人生首次感染RSV病毒(呼吸道合胞病毒)而引起的,而目前正是RSV病毒高發期。
細菌和病毒感染疫後反彈
由於這兩個州份並不接壤且相隔較遠,令不少美國民眾擔憂肺炎傳染範圍可能不止目前所知的地區。美國衞生部門表示,儘管這種肺炎的病症較輕微,且不太可能在美國全國範圍內普遍傳染,但各地仍需注意做好防護工作。約翰霍普金斯大學傳染病專家阿達爾賈認為,「若今年美國某些地方的肺炎感染率高,我不會感到驚訝,因新冠疫情後一些細菌和病毒感染似乎正在反彈。」美國國會已緊急去信疾病控制及預防中心(CDC),要求CDC報告所知道的一切情況,避免重蹈新冠疫情的覆轍。
據醫生表示,肺炎患者大多出現發燒、咳嗽和疲勞等症狀,目前沒有明顯因肺炎致死的病例。俄亥俄州正對引發肺炎感染的原因進行持續調查,沃倫縣衞生官員表示,隨着假期臨近,許多人將與家人和朋友聚會,民眾應採取必要的預防措施,並及時接種疫苗。
歐洲方面,丹麥衞生部於11月30日報告該國出現大量「白肺」病例,發病率已達到該國設定的「流行病」標準。荷蘭也報告該國患肺炎兒童數量出現「驚人的激增」,瑞典則於今年入冬之際已出現大量肺炎病例。
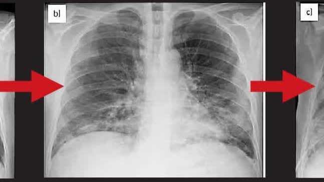
病症相對溫和 患者肺部呈白色
據悉這些在歐洲國家流行的肺炎病症相對較為溫和,患者的肺部在X光片會呈現白色。丹麥血清研究所警告說,預計這種肺炎的病例會在冬天持續增加。
美國耶魯大學醫學院傳染病專家羅伯茨表示,細菌性呼吸道感染通常每5年就會爆發一次,通常是在人們從流感或其他病毒性疾病中恢復過來的時候。大多數感染都較為輕微,但那些最近剛從呼吸道感染中恢復過來的人面臨更高的風險。
東安格利亞大學傳染病專家亨特說,數據顯示肺炎傳染潮通常每3至7年侵襲一個國家,最後一波全球較為同步的傳染潮發生在2019年。由於新冠防疫期間,細菌的繁殖、孵化和傳播速度相對較慢,所以直到現在才在多個國家觀察到病例激增。亨特認為,隨着人們旅行和交流,這波肺炎感染可能會傳遍歐洲和北美,並進入非洲。令人擔心的是,非洲的衞生基礎設施薄弱,在歐美地區並不致命的肺炎,到了非洲可能產生嚴重後果。
新冠流感RSV夾攻 美今冬恐10萬人住院
美國疾病控制及預防中心(CDC)表示,美國今年冬季將出現多種季節性疾病,包括流感、新冠病毒及呼吸道合胞病毒( RSV),預計今冬的呼吸道疾病季節,可能導致10萬人住院。
專家指出,先前的新冠疫情抑制了季節性流感和RSV的病例,但今年這3種疾病都在蠢蠢欲動。CDC最新數據顯示,隨着新冠病毒住院病例增加,RSV和流感的活躍程度也逐漸攀升。史丹福大學兒童健康中心的小兒科傳染病專家馬爾多納多表示,這可能成為「新常態」。
加劇醫院負擔
CDC研究這個季節可能發生的兩種假設情景,說明新冠病毒在溫和的季節將如何增加醫院負擔,並可能導致進一步緊張,情況恐遠比新冠在全球傳播前的流感和RSV流行季節還要嚴重。CDC表示,很難預測每種疾病活動高峰的規模和時間,以及時間可能如何互相重疊,但提高疫苗接種率可以大幅降低住院人數。
CDC最近發表報告稱,流感已開始在全美蔓延,呼籲民眾盡快注射疫苗並勤戴口罩,預防感染,「即使目前病例仍處於少數,但也可能在未來數周內突然增加。」
CDC資深流行病學家尤利亞諾證實,在2022至2023年流感季節,與流感有關的小兒科就診和住院人數高於往年,幾乎都屬於A型流感,其中多數是H3N2病毒,但今年入秋以來,多數流感病例多是H1N1病毒,「鑒於去年發生的狀況,兒童接種疫苗對於預防感染、防止住院、甚至防止重症都至關重要。」他建議出生滿6個月的幼童及所有年齡層,皆應每年注射一次流感疫苗。
(來源:香港文匯報A23:國際 2023/12/04)
