運動時互有衝撞,或在街上不慎跌倒,一旦頭部受到撞擊,輕則引致皮外傷,重則會令頭骨破裂,甚至鋤傷腦部。若事後持續頭痛,有可能是腦部受損,切勿掉以輕心。
頭部創傷危及腦部
頭部創傷可簡單分為「鈍性」及「穿透性」兩大類:前者單純指頭部撞擊硬物,例如跌倒時頭部着地;後者則指頭部受物質高速或低速撞搫,撞擊力有機會經接觸點穿破頭骨並直襲腦部,導致顱腦受創。
以上兩大類頭部創傷都有可能傷及腦部,傷者事後或會持續頭暈或頭痛,嚴重者更會出現以下情況:
•腦內血腫/腦積血:人腦是密閉空間,若頭部撞擊引發腦出血,腦內積血會令顱內壓上升,造成顱內高壓,傷者事後或會神智不清。
•開放性腦創傷:嚴重撞擊有可能令表皮、頭髮及腦膜受損,令細菌有機會經傷口感染腦部。
•其他情況包括顱底受撞搫而骨折,若腦膜同時受損,會有機會出現腦脊液滲漏。
腦創傷的嚴重程度亦可按格拉斯哥昏迷指數(Glasgow Coma Scale,GCS)而定,最高分為15分,最低分為3分。簡單而言,14至15分屬輕度創傷,傷者事後完全清醒;9至13分屬中度創傷;3至8分則是重度創傷,傷者事後嚴重昏迷。
傷者事發前頭暈或抽筋,保護意識一般偏低,事發時未必能夠及時保護自己或減低撞擊力。若正服用阿士匹靈或薄血藥,傷勢有機會較為嚴重。
受損功能視乎撞擊及受傷位置
傷及腦部的嚴重頭部創傷,受影響範圍/功能視乎受傷位置而定。若腦部負責語言及運動的區域因撞擊受創,會令傷者的說話能力或四肢活動受損。
另一例子是上文提及的顱底骨折:嗅覺神經位於前顱底,顱底一旦受創骨折,傷者有可能會失去嗅覺。又例如臉部神經及聽覺神經交錯的顳骨位置,前者受損或會導致臉癱,後者受創可能會令聽力下降。若然是蝶骨骨折,受影響的會是視覺神經,傷者會視力下降,惟相對罕見。
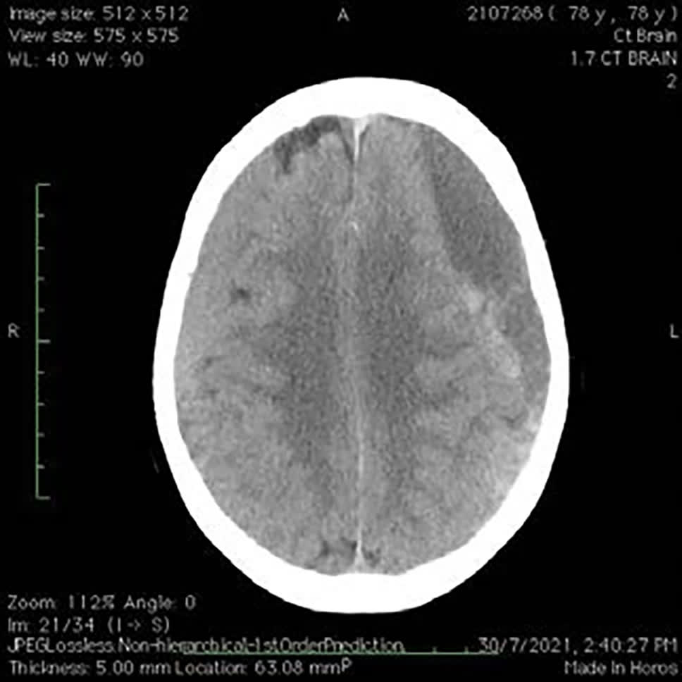
積血再少 後果可大可小
長者腦部日漸萎縮,與頭骨之間容易產生虛位。頭部創傷即使僅屬輕度或中度,腦內積聚的瘀血再少,亦會被身體吸收而化為血水,有機會在意外後約一至六個月內不斷膨脹,最終導致慢性硬膜下出血。患者反應會變得遲緩,步履不穩,嚴重者甚至會出現偏癱,建議立即求醫,接受腦掃描檢查。
如長者正服用抗血小板藥或薄血藥,輕微撞擊足以導致腦出血,照顧者必須提高警覺,不時留意事後長者身體有何異樣。
若干病人在休養約一、兩個月後,發現康復進度有減慢跡象,或有感反應遲緩及不適,這可能與腦積水有關。腦積水源於身體吸收腦內血塊時形成黏連,令正常腦脊液的吸收受阻,所以傷者在康復期間亦不應掉以輕心,要留意自己身體有何變化。
「腦筍」何解未生埋 是好是壞?
俗語有云:「腦筍都未生埋」。初生幼兒的顱骨由多塊頭骨組成,「腦筍」是指骨與骨之間的空間。產婦順產時,胎兒會經產道離開母體,期間頭顱會被產道擠壓,令多塊頭骨相互重疊,直至胎兒被擠出母親體外。隨着胎兒頭部發育成長,骨與骨之間的空位會逐漸收窄。
以頭部創傷而論,「腦筍都未生埋」未必是壞事:骨塊之間的空位,容許腦部作一定程度的膨脹,頭部撞擊時可紓緩壓力。另一方面,幼童發育尚未健全,顱骨及腦部承受衝擊的能力遠遜成人。
一般而言,正常成人頭骨骨折,一般需四至六周自行癒合。若情況嚴重,例如刺穿頭骨令腦部所創,便要接受腦外科手術。
如有異樣立即檢查 手術有助減低損傷
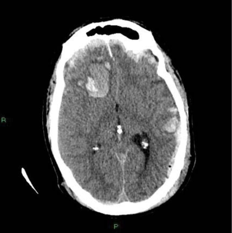
傷者求醫時,醫生會先觀察相關臨床症狀,如言語不清等。如有需要,病人可接受電腦掃描或磁力共振,了解傷者顱骨受損程度,以及是否出現腦出血等。
治療方面,以硬膜下出血為例,神經外科專科醫生會以手術處理積血引起的徵狀,先在頭骨鑽孔,再揭開頭骨,放出血水。
腦外科手術主要適用於嚴重腦創傷,例如以開顱手術抽出腦內瘀血,令顱內壓回復正常水平。如顱內壓上升是腦腫脹所致,醫生可施行去骨瓣減壓手術,打開頭皮及頭骨,取走部分頭骨後僅縫上頭皮,於腦內騰出空間以紓緩壓力,減低顱內壓。
絕大部分腦部損傷都無法修補,術後傷者的身體機能不能百分百恢復。腦外科手術旨在預防二次傷害,即控制腦部整體受損範圍及程度,盡量減低原來創傷對餘下腦部其他位置的影響。
有效保護頭部 減低撞擊
要有效避免腦部因頭部撞擊受創,關鍵在於慎防意外,做足保護措施:例如駕車及坐車時戴上安全帶、從事單車或踏滑板等高速運動時配戴頭盔,有助減低頭部在意外時承受的撞擊力。
長者屬跌倒高危群,步行時不宜操之過急,而照顧者更要一眼關七,以防長者因滑倒或絆倒而頭部着地。倘有任何異樣,立即求醫並接受檢查,防患未然。
養和醫院神經外科專科醫生
