【科學講堂】細胞鬥生長速度 敗則自我毀滅
在討論社會、生物演化的時候,我們常用「物競天擇、適者生存」來表達物種或是人與人之間的相互競爭。大家有否想過,細胞之間也會互相競爭呢?今天就和大家簡單分享一下這個有趣的生物現象。
相對競爭力 沒絕對準則
早在1973年,在馬德里的生物研究中心攻讀博士學位的Ginés Morata和Pedro Ripoll就發現了一個有趣的現象。他們在研究一種變種的果蠅幼蟲細胞:這些變種細胞生長得比原來的細胞緩慢,但還是可以毫無大礙地發展成果蠅;他們其後將這些變種細胞和原來的細胞混和在一起,最初自然是預計這些生長得較為緩慢的變種細胞會比其他的細小。不過,他們觀察到的結果更為極端:那些變種的細胞完全消失了!當時他們沒有合適的工具去進一步研究這些「細胞消失事件」,這些有趣的結果因此也只能被束之高閣。
26年以後,科學家們又再一次觀察到了相類的結果:這次科學家們是在研究另一種名為dMyc的果蠅基因,而這種基因的一個變種同樣也會減慢細胞的生長。和之前的實驗一樣,當擁有這個變種基因的細胞與沒有變種的細胞放在一起,生長較慢的變種細胞就會慢慢消失。這次科學家們更能夠進一步確認,這些變種細胞是啟動了一些細胞的「自我毀滅」程序。情況就好像是生長較慢的細胞比不上其他的細胞,因而受不住競爭而慢慢被淘汰了。
有趣的是,科學家們也研究了相反的情況。他們製造了生長較快的細胞,並發現它們會變成「超級競爭者」:與普通的細胞放在一起,這一次是普通的細胞經不起競爭而慢慢消失。這清楚地展示出這種細胞之間的競爭,是基於細胞的相對競爭力,而不是有什麼絕對的準則。這也代表細胞之間有方法互相評價競爭力:一個族群的細胞,可以決定哪些成員較弱要「離開」,哪些成員強勁而應該繼續留下來。
研究助抗癌症 迫死病變因子
那細胞又是如何互相評價競爭力呢?對這個問題,科學家還沒有明確的答案。在一些情況下,細胞好像經由實際接觸來互相評價;也有可能是透過從細胞輸出的化學物質來決定;也有一些實驗顯示,細胞可能是藉由細胞膜的成分來互相評估競爭力。
能夠深入了解這個有趣的現象,也有可能在未來用於對抗癌症:我們或許可以讓癌細胞認為自己競爭力不足,繼而啟動「自我毀滅」的程序。
身體或已有機制
科學家懷疑,我們的身體可能已在利用類似的機制:大約四分之一的人類皮膚細胞之中,其實已潛藏有癌症病變的因子,不過卻極少轉化為癌腫瘤。或許這些細胞,一早已因細胞之間的競爭而消失了。
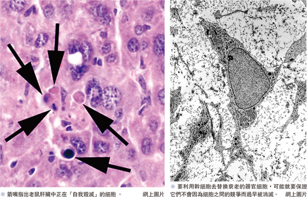
反過來說,我們也可能需要善用這個機制去確保一些細胞能「茁壯成長」:比如說我們想利用幹細胞去替換衰老的器官細胞,可能就要保證它們不會因為細胞之間的競爭而過早被消滅。
生命中仍有不少奧秘等待我們慢慢發掘,今次的例子也顯示出科研並不一定能一蹴而就:一個實驗的結果,可能要數十年後才能再次有進一步的發展。
●杜子航 教育工作者
早年學習理工科目,一直致力推動科學教育與科普工作,近年開始關注電腦發展對社會的影響。